Ежедневно с 7:00 до 23:00
Большая Декабрьская улица, 3с28

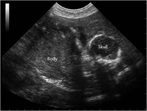
УЗИ собаке при беременности

  • Заботливые ветеринары
  • Выезд на дом
  • Современные протоколы

УЗИ при беременности у собаки

УЗИ ― безопасный для здоровья животного способ медицинского обследования. Рекомендуется провести ультразвуковое исследование для подтверждения факта успешной вязки, определения точного срока беременности, предполагаемой даты родов, а также для выявления серьезных патологий у будущих щенков или проблем, связанных с их вынашиванием.

У многих домашних питомцев наблюдается явление, известное как ложная беременность. Это состояние характеризуется выделением организмом суки гормонов, приводящих к изменениям в весе, поведении, даже к выработке молока. В редких случаях возникают нежелательные осложнения, развиваются патологии. Ветеринары рекомендуют своевременное проведение диагностики такой патологии с использованием ультразвукового аппарата.

Оптимальное время для УЗИ

Для того чтобы получить максимально точную информацию о беременности вашей собаки, важно выбрать правильные сроки для ультразвукового исследования. Мы рекомендуем проводить УЗИ как минимум дважды:

Первое УЗИ. Подтверждение беременности и исключение патологий (20–28 дни)

  • Оптимальный срок: 21–28 день после последней вязки.
  • Цель: Это самое раннее время для подтверждения факта беременности. В этот период врач увидит на экране маленькие плодные пузыри (эмбрионы еще слишком малы).
  • Важность: Раннее УЗИ позволяет исключить пиометру (гнойное воспаление матки) и ложную беременность, а также своевременно начать коррекцию питания и режима суки.

Второе УЗИ. Оценка жизнеспособности и срока (30–40 дни)

  • Оптимальный срок: 30–40 день беременности.
  • Цель: На этом этапе врач может точно оценить жизнеспособность каждого плода, измеряя их частоту сердечных сокращений (ЧСС).
  • Важность: Это критически важный этап мониторинга. Оценка ЧСС — единственный способ узнать, что щенки здоровы и активно развиваются. Также проводятся измерения плодов (фетометрия) для более точного определения примерного срока родов.
Этапы проведения УЗИ
1

Наш ветеринар приедет на дом к питомцу, привезя с собой портативный аппарат УЗИ. Врач нанесет на живот собаки гель для ультразвукового сканирования. Это обеспечит хороший контакт между датчиком аппарата и кожей, что необходимо для получения четкого изображения. Ветеринар начинает сканировать живот питомца, перемещая датчик аппарата по различным участкам. Ориентируется на анатомические особенности, ищет признаки наличия плодов, изменения в структуре матки. Специалист внимательно изучает полученные изображения, определяет количество плодов, их размеры, положение, общее состояние. Ветеринар анализирует полученные изображения, делает заключение.

2

Если нет препятствий для посещения клиники, то УЗИ делают в специально оборудованном кабинете. Алгоритм процедуры не отличается от ее проведения в домашних условиях. Перед выполнением исследования питомцу может потребоваться легкая седация. Ветеринар проводит ультразвуковое исследование, перемещая датчик аппарата по животу суки для визуализации матки, плодов. Специалист оценивает состояние плодов, их количество, размеры, положение, а также общее здоровье, развитие. Ветеринар анализирует полученные изображения, делает заключение о состоянии суки. Он также выявляет любые аномалии, проблемы, связанные с вынашиванием потомства. После проведения УЗИ ветеринар консультирует владельца о результатах, предлагает рекомендации по уходу за животным, подготовке к родам.

Вызвать врача

Нажимая кнопку, вы даете согласие на обработку персональных данных

Показания и противопоказания к УЗИ

Подтверждение беременности, определение количества плодов.

Оценка здоровья, развития плодов, включая их размеры, положение в матке, общее состояние.

Определение сроков беременности, что важно для планирования дальнейших этапов ухода за собакой, подготовки к родам.

Выявление любых аномалий развития плодов, проблем пренатального периода: мумификация плодов, другие осложнения.

Абсолютных противопоказаний для проведения процедуры нет. Но учитывают возможную аллергическую реакцию на гель, используемый при проведении исследования, слишком возбужденное состояние животного.

Подготовка к УЗИ
1
Питье

Рекомендуется проводить ультразвуковое исследование при наполненном мочевом пузыре, так как он служит ориентиром, обеспечивает хорошее акустическое окно для визуализации тела, рогов матки.

2
Прогулка

Кишечник желательно опорожнить. Для этого нужно выгулять собаку за 2-3 часа до процедуры, предоставить ей возможность напиться воды.

3
Использование препаратов

Для крупных сук с плотной брюшной стенкой, развитой мускулатурой, большим количеством висцерального жира также рекомендуется использовать симетикон внутрь за 2-3 дня до назначенного ультразвукового исследования. Он снижает количество газов в кишечнике, что способствует улучшению визуализации структур матки во время процедуры.

Как УЗИ помогает отличить истинную и ложную беременность у собак?

Ложная (или псевдобеременность) часто сопровождается множеством физиологических и поведенческих признаков, имитирующих реальную беременность (увеличение молочных желез, изменение поведения, набор веса), что может сбить с толку даже опытного владельца.

Ультразвуковое исследование (УЗИ) является единственным неинвазивным и абсолютно достоверным методом, позволяющим провести точную дифференциацию этих состояний.

При истинной беременности: УЗИ, проведенное после 20–25 дней после вязки, визуализирует плодные пузыри (на ранних сроках) и, что самое главное, сердцебиение эмбрионов. Наличие этих структур однозначно подтверждает, что сука беременна.

При ложной беременности: При сканировании матка выглядит пустой. Врач может увидеть лишь небольшое количество жидкости или не увидеть никаких специфических изменений, что позволяет со 100% уверенностью исключить наличие развивающихся плодов.

Таким образом, УЗИ быстро и безопасно развеивает сомнения, позволяя владельцам и врачам выбрать правильную тактику.

В чем разница для подтверждения и контроля беременности?

Ультразвуковое исследование (УЗИ) и рентгенография — это два основных, но совершенно разных метода визуализации, которые используются на разных этапах беременности собаки и преследуют разные цели.

Критерий УЗИ (ультразвуковое исследование) Рентгенография
Срок проведения 20–28 дни (подтверждение) и 30–40 дни (жизнеспособность) Не ранее 55–58 дня беременности
Цель исследования Подтверждение беременности, оценка жизнеспособности плодов (сердцебиение), оценка состояния матки. Точный подсчет количества щенков и оценка их размера относительно таза суки.
Что видно Мягкие ткани, плодные пузыри, пульсация сердца плодов, жидкость. Кости (скелеты плодов), их положение, размер и количество.
Безопасность Полностью безопасно, нет лучевой нагрузки. Можно проводить многократно. Из-за радиационного воздействия проводится только один раз, незадолго до родов.
Главное отличие Показывает "качество" (живой/неживой). Не дает точного счета. Показывает количество (точный счет). Не показывает, живы ли щенки.

УЗИ необходимо на ранних и средних сроках для подтверждения беременности, исключения патологий и оценки того, что щенки живы.

Рентген необходим в самом конце беременности (за несколько дней до родов) для точного подсчета количества щенков, что критически важно для контроля родовой деятельности (чтобы убедиться, что вышли все плоды).

Оба метода, используемые в правильное время, обеспечивают полный и безопасный контроль над беременностью.

Цены на УЗИ для собак

УЗИ грудной полости

от 2200 ₽

УЗИ одного органа / системы

от 1690 ₽

УЗИ одной области

от 850 ₽

УЗИ органов брюшной и грудной полости

от 3800 ₽

УЗИ органов брюшной полости

от 2800 ₽

Повторное узи в динамике для пациентов стационара

от 1100 ₽

При записи через сайт – скидка 10%

До конца акции:

Клинические случаи
Оценка сроков родов
Оценка сроков родов

Пациент: Лана, такса, 4 года

Жалобы: Планируемая беременность. Владельцы хотят точно определить количество щенков, срок родов и состояние плодов перед естественными родами.

Диагноз: 5 живых эмбрионов, сердцебиение регистрируется у всех, средний срок — 48 дней. Плаценты и околоплодные пузыри без патологий. Матка не расширена, тонус в норме.

Что дало УЗИ: УЗИ позволило подтвердить жизнеспособность плодов, оценить их количество и положение, исключить мертворождение или кисты.

Результат: На 63-й день — естественные роды, все 5 щенков родились живыми и здоровыми.

Преимущества
Экспертный уровень ветеринарной заботы
Ваш питомец заслуживает лучшего, и наши ветеринары – это воплощение профессионализма и знаний. С глубоким пониманием животных и богатым опытом лечения самых разнообразных болезней, наша команда обеспечивает высококачественную медицинскую помощь. От рутинных осмотров до сложных хирургических операций – наши специалисты гарантируют, что ваш любимец получит лучшее лечение.
Современное оборудование
Мы понимаем, что точная диагностика и эффективное лечение требуют передовых технологий. Наши врачи оснащены самым современным оборудованием, что позволяет нам проводить манипуляции прямо у вас на дому.
Ветеринарный прием на дому
Мы знаем, что посещение клиники может быть стрессовым для вашего питомца и не всегда удобным для вас. Поэтому мы предлагаем уникальную услугу – прием на дому. Наши ветеринары готовы приехать к вам и оказать необходимую помощь в комфорте вашего дома. Это не только снижает стресс для животного, но и экономит ваше время.
Безграничная забота о животных
Любовь и забота о животных – это не просто работа для нас, это наша страсть. Мы стремимся создать теплую и дружелюбную атмосферу для каждого пациента. Наш подход к каждому животному индивидуален, и мы делаем все возможное, чтобы обеспечить им комфорт и поддержку на каждом этапе лечения. Ваш питомец будет окружен вниманием и заботой, как будто он – часть нашей собственной семьи.
Отзывы
Аня
Наш пес начал часто кашлять мы обратились в эту клинику, где удалось выяснить, что у него аллергия. Врачи подобрали лечение и дали советы по изменению рациона. Огромная благодарность добрейшему доктору Лидии!
Ольга
Заметила что кот стал апатичным и отказывался от еды. Сделали в клинике полную диагностику и нашли причину (это был гастрит). Назначили лечение и теперь с котом все ок) Спасибо за вашу внимательность и профессионализм.
Марина
Спасибо за экстренную помощь! Мы поранили лапу во время прогулки. Позвонили и нам предложили чтобы ветеринар приехал домой, очень удивились, но реально в течение часа где-то подъехал врач и оказал первую помощь, проконсультировали по дальнейшему уходу. Благодарю за быстрое реагирование.
При записи через сайт – скидка 10%

До конца акции:

Зачем проводить УЗИ беременной собаке?

Это важная диагностическая манипуляция, помогающая ветеринару оценить состояние беременности, здоровье плодов. Основные случаи, при которых прибегают к УЗИ:

  • Определение срока. Ультразвуковое исследование позволяет точно определить сроки беременности. Это важно для планирования ухода за сукой, подготовки к предстоящим родам, оценки состояния развития потомства.
  • Определение количества, состояния плодов. Ветеринар выявляет количество щенков, обнаруживает аномалии развития (отставания в росте, пороки).
  • Оценка состояния матки, окружающих тканей. Исследование позволяет визуализировать орган репродуктивной системы, выявлять возможные патологии, осложнения (опухоли, воспаление матки).
  • Мониторинг протекания беременности. Ультразвуковая диагностика используется для контроля пренатального периода, выявления любых возможных осложнений (мумификация плодов, невынашивание).
  • Оценка готовности к родам. Ультразвук помогает определить готовность суки к родоразрешению, включая оценку размеров, положения плодов, а также состояния матки.

Проведение УЗИ беременной собаке играет ключевую роль в оценке пренатального периода, выявлении возможных проблем, принятии соответствующих мер по уходу за сукой, ее потомством.

Оценка состояния плодов, матки помогает ветеринару и владельцу питомца подготовиться к предстоящим родам, выявить возможные проблемы, разработать план действий в случае осложнений.

Маркова Елена, ветеринар
Статья одобрена ветеринаром
Задать вопрос специалисту
Часто задаваемые вопросы
На каком сроке беременности можно делать УЗИ собаке?

Оптимальное время для ультразвуковой диагностики ― 25-35 дней беременности, когда уже можно достаточно точно определить количество плодов, их развитие, проверить состояние матки, минимизируя при этом риск осложнений.

Сколько стоит УЗИ для собак на беременность?

Первичное ультразвуковое исследование стоит от 1690 руб.

Можно ли кормить собаку перед УЗИ на беременность?

Для ультразвукового исследования питомца, вынашивающего потомство, не обязательно голодать перед процедурой. Обычно рекомендуется предоставить доступ к воде вволю. Однако если ветеринар предпочтет провести исследование натощак или с определенным интервалом после последнего приема пищи, следует придерживаться его рекомендаций.

Как подготовить собаку к УЗИ матки?

Рекомендуется создать спокойную обстановку, успокоить животное, обеспечить комфортное положение. Также важно удалить лишние волосы в области живота, где будет проходить датчик. Еще собаку рекомендуется выгулять перед процедурой, чтобы уменьшить возможные перистальтические движения кишечника, что помешает проведению исследования.

Нужно ли предоставить какую то информацию ветеринару перед УЗИ?

Чтобы УЗИ при беременности было максимально информативным, вам нужно предоставить врачу-диагносту несколько ключевых данных. Эта информация помогает специалисту точно определить, что искать, и верно интерпретировать полученные изображения:

  • Точные даты вязки. Это самый важный фактор. Зная точный день вязки, врач может рассчитать примерный срок беременности и определить, что именно он должен увидеть на УЗИ (например, на 25-й день должны быть видны плодные пузыри, а на 35-й — сердцебиение).
  • Подозрения на осложнения. Сообщите, если вы заметили необычные выделения, отказ от еды или вялость у суки. Это указывает на возможные патологии матки или гибель плодов, требующие прицельного внимания.
  • Прием медикаментов. Укажите, принимает ли собака какие-либо лекарства, витамины или гормональные препараты.
Другие услуги
Источники

Джумамуратов А. Б., Даулетбаев Н. П. ЭФФЕКТИВНОСТЬ МЕТОДОВ ДИАГНОСТИКИ БЕРЕМЕННОСТИ У СОБАК //Polish Journal of Science. – 2021. – №. 35-1. – С. 57-60.

Спасова В. В. Узи диагностика собак //ПЕРМСКИЙ ПЕРИОД. – 2019. – С. 247-250.

Гончарова А. В., Назимкина С. Ф., Костылев В. А. Значение ультрасонографии в установлении сроков беременности у собак мелких пород //Вестник Алтайского государственного аграрного университета. – 2023. – №. 10 (228). – С. 66-69.