Ежедневно с 7:00 до 23:00
Большая Декабрьская улица, 3с28

МРТ кошке

  • Заботливые ветеринары
  • Высокое качество диагностики
  • Современное оборудование

Нажимая кнопку, вы даете согласие на обработку персональных данных

МРТ кошке

Магнитно-резонансная томография (МРТ) кошек — это безопасная и безболезненная процедура, которая позволяет проводить высокоточную диагностику мягких тканей, внутренних органов и неврологических нарушений. С помощью Т1- и Т2-взвешенных изображений, 3D-реконструкции и контрастного усиления (Gadolinium) ветеринарный радиолог может выявлять опухоли мозга и спинного мозга, воспаления, травмы позвоночника, менингит или энцефалит.

Процедура требует подготовки кошки, включая анестезию или седацию, чтобы обеспечить неподвижность животного во время обследования, а также мониторинг состояния во время введения контраста и проведения МРТ. Этот метод диагностики позволяет не только планировать хирургическое вмешательство, но и контролировать эффективность терапии после операции.

МРТ отличается от КТ, УЗИ и рентгенографии высокой точностью диагностики мягких тканей и неврологических нарушений, что делает её незаменимой для своевременного выявления патологий. Правильный выбор клиники с квалифицированным ветеринарным радиологом и современным оборудованием гарантирует безопасность процедуры и минимизирует риск осложнений или побочных эффектов.

Магнитно-резонансная томография (МРТ) — это высокоточный метод диагностики, который используется для визуализации внутренних органов, тканей и структур тела кошки с помощью магнитного поля и радиоволн. МРТ позволяет получать детальные изображения мозга, спинного мозга, суставов и внутренних органов, что делает её незаменимым инструментом в современной ветеринарной практике.

Основные принципы работы МРТ

Принцип работы МРТ основан на воздействии мощного магнитного поля на атомы водорода в тканях организма. Когда тело кошки помещают в магнитное поле, атомы водорода изменяют своё положение и излучают сигналы, которые фиксируются специальным датчиком. Эти сигналы преобразуются в высококачественные изображения, позволяющие выявлять даже мелкие патологические изменения.

Существует несколько типов МРТ-изображений: Т1- и Т2-взвешенные, которые показывают ткани с разной плотностью, а также функциональная МРТ (fMRI), используемая в исследованиях активности мозга.

Этапы проведения
1

Начинается собственно манипуляция с седации питомца. Ни одна, даже самая спокойная кошка, не сможет лежать неподвижно в огромном, громко работающем аппарате. Следовательно, для исключения появления на снимках артефактов, панического поведения, животное необходимо седатировать. Анестезиолог осматривает кошку, оценивает ее общее состояние, взвешивает. И, на основании всей полученной информации, подбирает лекарственное средство, рассчитывает его дозировку.

2

К следующему этапу выполнения МРТ приступают сразу после того, как кошка уснет. Животное располагают на кушетке аппарата, фиксируют. Далее, нажимая на специальную кнопку, питомец задвигается внутрь томографа, начинается исследование. Аппарат сканирует заданную анатомическую область, полученные снимки передаются на экран монитора.

3

По завершении манипуляции врач запускает программу, которая выдвигает кушетку за пределы томографа, снимает фиксирующие кошку устройства. Животное переводится в палату. Спустя 2-3 часа после окончания сканирования хозяин сможет забрать питомца домой. Результат диагностического теста, описание полученных снимков будет готов в течение следующих 48 часов.

Запись на прием

Нажимая кнопку, вы даете согласие на обработку персональных данных

Показания и противопоказания к проведению МРТ

Неврологические заболевания и травмы
МРТ особенно эффективна при диагностике неврологических проблем, таких как судороги, потеря координации, параличи и воспаление спинного мозга. Этот метод позволяет выявлять причину симптомов и отличать их от других заболеваний, которые имеют схожую клиническую картину.

Опухоли и воспалительные процессы
МРТ является золотым стандартом для обнаружения опухолей мозга, спинного мозга и мягких тканей. Она также помогает выявлять воспалительные процессы, такие как менингит или энцефалит, которые трудно диагностировать другими методами. Контрастное усиление (например, гадолиний) повышает точность диагностики и позволяет различать здоровые и патологические ткани.

Контроль после операций и лечения
После хирургического вмешательства или медикаментозного лечения МРТ используется для оценки эффективности терапии и контроля состояния кошки. Это позволяет своевременно выявлять рецидивы или осложнения и корректировать план лечения.

Основные риски связаны с анестезией и применением контрастного вещества.

Возможны аллергические реакции, индивидуальная непереносимость препаратов или осложнения при тяжёлых заболеваниях.

МРТ противопоказана кошкам с металлическими имплантатами, кардиостимуляторами или выраженными проблемами со здоровьем.

Подготовка к исследованию

Для снижения стресса перед процедурой рекомендуется спокойная обстановка, знакомые предметы и минимизация лишних манипуляций. Опытный персонал и применение мягкой седации помогают животному перенести обследование максимально комфортно.

1
Анализы и осмотры

Поскольку во время МРТ животное должно оставаться полностью неподвижным, почти всегда применяется анестезия или седация. Перед процедурой важно провести полное обследование состояния кошки, включая анализ крови, чтобы минимизировать риски.

2
Соблюдение диеты

Также рекомендуется ограничить питание за несколько часов до процедуры. Владельцы должны заранее обсудить с ветеринаром возможные реакции на контрастное вещество и анестезию.

Что можно исследовать на МРТ?

Врачи «Лапке помощи» могут предложить хозяевам кошкам выполнение МРТ головного мозга и грудного отдела позвоночника.

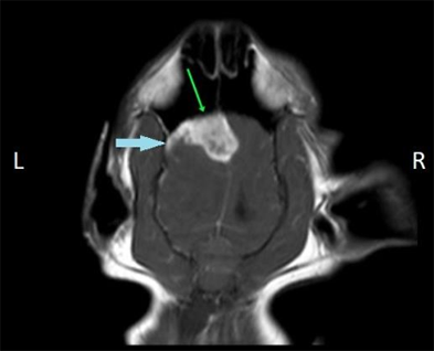
МРТ головного мозга

В ходе МРТ головного мозга врач сканирует собственно орган, по необходимости вовлекает в исследование лицевой отдел черепа. Изучая полученные снимки, ветеринар сможет диагностировать такие патологии как:

  1. Новообразования головного мозга.
  2. Воспалительные изменения органа.
  3. Дегенеративные, демиелинизирующие заболевания нервной системы.
  4. Эпилептиформные очаги.
  5. Компрессию, смещение структур головного мозга.
  6. Ишемию, кровоизлияния в головной мозг (с этой целью ветеринар вводит в кровоток контрастное вещество. На основании распределения такового по сосудам можно диагностировать патологии кровообращения).

МРТ грудного отдела позвоночника

МРТ грудного отдела позвоночника в диагностике поражения костных структур практически не применяется, однако с его помощью можно визуализировать паравертебральные ткани, спинной мозг, межпозвонковые диски. Примеры выявленных патологий:

  1. Компрессию, частичный или полный разрыв спинного мозга.
  2. Травматическое повреждение паравертебральных мышц, связок, сухожилий данной анатомической области.
  3. Воспалительные изменения оболочек органа.
  4. Грыжи и протрузии межпозвонковых дисков.

Важно понимать, что заключение МРТ ещё не является диагнозом. Выставить последний может исключительно ветеринарный врач на основании клинической картины, анамнеза заболевания и жизни, результатов всех полученных в ходе диагностического поиска исследований.

Как интерпретируются результаты

После процедуры ветеринарный радиолог анализирует полученные изображения, выявляя патологические изменения, такие как опухоли, воспалительные процессы, травмы или структурные аномалии. Результаты МРТ помогают разработать план лечения или подготовку к хирургическому вмешательству, а также позволяют контролировать эффективность терапии.

Сравнение с КТ и другими диагностическими методами

МРТ отличается высокой точностью при исследовании мягких тканей и нервной системы, в отличие от КТ, которая лучше показывает кости и лёгкие структуры.

УЗИ и рентгенография являются менее информативными для диагностики опухолей или воспалительных процессов мозга и спинного мозга, но могут использоваться как предварительные методы обследования.

Цены на МРТ для кошек

МРТ головного мозга (до 10 кг)

от 7000 ₽

МРТ головного мозга (10-20 кг)

от 8800 ₽

МРТ головного мозга (20-30 кг)

от 8600 ₽

МРТ головного мозга (30-45 кг)

от 10000 ₽

МРТ головного мозга с контрастом (до 10 кг)

от 10000 ₽

МРТ головного мозга с контрастом (10-20 кг)

от 10800 ₽

МРТ головного мозга с контрастом (20-30 кг)

от 10800 ₽

МРТ головного мозга с контрастом (30-45 кг)

от 13100 ₽

МРТ головного мозга + лицевой отдел черепа (до 10 кг)

от 7000 ₽

МРТ головного мозга + лицевой отдел черепа (10-20 кг)

от 8600 ₽

МРТ головного мозга + лицевой отдел черепа (20-30 кг)

от 13000 ₽

МРТ головного мозга + лицевой отдел черепа (30-45 кг)

от 14500 ₽

МРТ головного мозга + лицевой отдел черепа с контрастом (до 10 кг)

от 10100 ₽

МРТ головного мозга + лицевой отдел черепа с контрастом (10-20 кг)

от 10800 ₽

МРТ головного мозга + лицевой отдел черепа с контрастом (20-30 кг)

от 16800 ₽

МРТ грудного отдела позвоночника (до 10 кг)

от 7000 ₽

МРТ грудного отдела позвоночника (10-20 кг)

от 8600 ₽

МРТ грудного отдела позвоночника (20-30 кг)

от 8600 ₽

МРТ грудного отдела позвоночника (30-45 кг)

от 10000 ₽

МРТ грудного отдела позвоночника с контрастом (до 10 кг)

от 10100 ₽

МРТ грудного отдела позвоночника с контрастом (10-20 кг)

от 11500 ₽

МРТ грудного отдела позвоночника с контрастом (20-30 кг)

от 12200 ₽

МРТ грудного отдела позвоночника с контрастом (30-45 кг)

от 13700 ₽

При записи через сайт – скидка 10%

До конца акции:

Нажимая кнопку, вы даете согласие на обработку персональных данных

Клинические случаи
МРТ при неврологических симптомах у кота
МРТ при неврологических симптомах у кота

Пациент: Барсик, кот, 4 года

Жалобы: Односторонняя слабость, нарушение координации, эпизодическая атаксия. После одного из приступов — временная потеря ориентации.

Диагноз: МРТ головного мозга выявило фокальное воспалительное изменение в области мозжечка — картина, соответствующая очаговому менингоэнцефалиту. Без признаков новообразования или гидроцефалии.

Что дало МРТ: МРТ обеспечил высокую детализацию мягких тканей мозга, что позволило точно локализовать патологический очаг и начать иммуносупрессивную терапию до прогрессирования симптомов.

Результат: Уже через 10 дней — значительное улучшение координации. Через 6 недель — полное восстановление двигательной функции.

Преимущества
Экспертный уровень ветеринарной заботы
Ваш питомец заслуживает лучшего, и наши ветеринары – это воплощение профессионализма и знаний. С глубоким пониманием животных и богатым опытом лечения самых разнообразных болезней, наша команда обеспечивает высококачественную медицинскую помощь. От рутинных осмотров до сложных хирургических операций – наши специалисты гарантируют, что ваш любимец получит лучшее лечение.
Современное оборудование
Мы понимаем, что точная диагностика и эффективное лечение требуют передовых технологий. Наша клиника оснащена самым современным оборудованием, что позволяет нам проводить детальные диагностические исследования, такие как цифровая рентгенография, ультразвуковое исследование и многое другое. Это обеспечивает быстрое и точное определение проблемы, что является ключом к успешному лечению.
Ветеринарный прием на дому
Мы знаем, что посещение клиники может быть стрессовым для вашего питомца и не всегда удобным для вас. Поэтому мы предлагаем уникальную услугу – прием на дому. Наши ветеринары готовы приехать к вам и оказать необходимую помощь в комфорте вашего дома. Это не только снижает стресс для животного, но и экономит ваше время.
Безграничная забота о животных
Любовь и забота о животных – это не просто работа для нас, это наша страсть. Мы стремимся создать теплую и дружелюбную атмосферу для каждого пациента. Наш подход к каждому животному индивидуален, и мы делаем все возможное, чтобы обеспечить им комфорт и поддержку на каждом этапе лечения. Ваш питомец будет окружен вниманием и заботой, как будто он – часть нашей собственной семьи.
Отзывы
Аня
Наш пес начал часто кашлять мы обратились в эту клинику, где удалось выяснить, что у него аллергия. Врачи подобрали лечение и дали советы по изменению рациона. Огромная благодарность добрейшему доктору Лидии!
Ольга
Заметила что кот стал апатичным и отказывался от еды. Сделали в клинике полную диагностику и нашли причину (это был гастрит). Назначили лечение и теперь с котом все ок) Спасибо за вашу внимательность и профессионализм.
Марина
Спасибо за экстренную помощь! Мы поранили лапу во время прогулки. Позвонили и нам предложили чтобы ветеринар приехал домой, очень удивились, но реально в течение часа где-то подъехал врач и оказал первую помощь, проконсультировали по дальнейшему уходу. Благодарю за быстрое реагирование.

Интерьеры клиники

При записи через сайт – скидка 10%

До конца акции:

Нажимая кнопку, вы даете согласие на обработку персональных данных

Технология и проведение процедуры МРТ

Введение контрастного вещества

Контрастное вещество, чаще всего на основе гадолиния, используется для улучшения визуализации тканей и выявления патологических изменений. Контраст вводится внутривенно под строгим контролем ветеринара. Перед применением важно убедиться, что у кошки нет противопоказаний, таких как болезни почек или аллергические реакции.

Контрастное вещество в редких случаях может вызвать побочные эффекты, поэтому перед введением проводят анализы и тесты на аллергию. Анестезия подбирается с учётом возраста, веса и общего состояния кошки, чтобы исключить осложнения.

Анестезия и седация

Анестезия необходима, чтобы кошка оставалась неподвижной во время процедуры. Используются различные препараты и методы седативного воздействия, которые подбираются индивидуально. Ветеринар внимательно следит за состоянием животного во время всей процедуры, чтобы минимизировать риски. После завершения МРТ кошку постепенно выводят из состояния анестезии и наблюдают за её восстановлением.

Статья одобрена ветеринаром
Задать вопрос специалисту
Часто задаваемые вопросы
Сколько стоит МРТ у кошек?

Стоимость МРТ для кошек в каждом конкретном случае рассчитывается индивидуально. Зависит таковая от веса животного, исследуемых анатомических областей, необходимости введения контрастных веществ, объема предоперационной подготовки и много другого. Узнать приблизительную цену для вашего животного можно на первичной консультации ветеринара центра «Лапка помощи».

Как делают МРТ для кошки?

Вся процедура выполнения МРТ состоит из нескольких этапов: подготовка к исследованию, введение кошки в наркоз, собственно сканирование, пробуждение животного. Врач вводит питомца в седацию, помещает его в аппарат. С помощью особых физических реакций томограф сканирует заданную анатомическую область, передает снимки на экран монитора. Диск с записью исследования хозяин пациента получает сразу же после завершения манипуляции, расшифровку, как правило, придется подождать несколько дней.

Что лучше сделать кошке МРТ или КТ?

Однозначно ответить на вопрос, что лучше для вашего животного, КТ или МРТ, невозможно. Дело в том, что принципы сканирования у исследований разные, отличается визуализация мягких тканей и костных структур, существует множество различий в показаниях и противопоказаниях к диагностическим тестам. Другими словами, определить, какой из вариантов томографии лучше, сможет исключительно ветеринар центра «Лапка помощи».

Сколько стоит КТ для кошек?

Стоимость КТ кошкам рассчитывается индивидуально, исходя из тех же особенностей, которые влияют и на цену МРТ. Узнать приблизительную сумму диагностического теста можно на первичной консультации специалиста. Записаться на приём к ветеринару можно, позвонив по телефону или заполнив форму обратной связи на сайте

Другие услуги
Источники

Радченко О. В. Магнитно-резонансная томография позвоночника, головного и спинного мозга у мелких домашних животных : дис. – Красноярский государственный аграрный университет, 2012.

Контакты
Большая Декабрьская улица, 3с28
с 07:00 до 23:00