Ежедневно с 7:00 до 23:00
Большая Декабрьская улица, 3с28

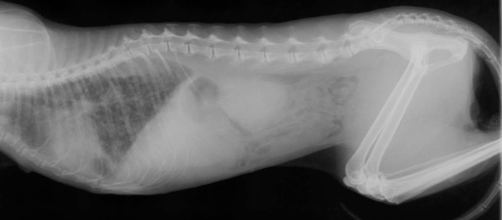
Рентген легких у кошек

  • Заботливые ветеринары
  • Выезд на дом
  • Современные протоколы

Рентген легких у кошек

Рентгенография грудной клетки (РГК) — это фундаментальный и незаменимый метод диагностики в ветеринарии, который позволяет получить изображение легких, сердца, крупных сосудов и костного каркаса грудной клетки. У кошек этот метод имеет особое значение, так как многие критические заболевания, такие как отек легких, плевральный выпот или кошачья астма, проявляются одышкой и требуют немедленного принятия решений.

Что дает эта процедура?

Рентген является первым шагом в дифференциальной диагностике, позволяя врачу:

  • Оценить причину одышки. Быстро отличить кардиологическую проблему (например, сердечную недостаточность, вызвавшую отек легких) от пульмонологической (пневмония, астма).
  • Выявить критические состояния. Диагностировать наличие жидкости (плевральный выпот) или воздуха (пневмоторакс) в грудной полости, требующих немедленной аспирации.
  • Обнаружить новообразования. Провести онкологический скрининг и поиск метастазов в легких у пожилых животных.

Благодаря цифровому рентгену и точной интерпретации врачом визуальной диагностики, мы получаем мгновенные и высококачественные снимки, что критически важно для спасения жизни кошки при острых респираторных симптомах.

Этапы проведения рентгена легких
1

Кошку необходимо уложить на рентгеновский стол. Для получения качественного и информативного снимка жизненно важно выполнить две вещи: правильно уложить животное и сделать снимок на фазе максимального вдоха. Врач сделает как минимум две проекции — боковую (латеральную) и прямую (вентро-дорсальную или дорсо-вентральную). Это необходимо для того, чтобы увидеть все отделы легких и избежать наложения структур (например, сердца на легкие).

2

Если кошка испытывает сильную одышку, паникует или агрессивна, для обеспечения неподвижности и правильной укладки может потребоваться легкая седация (успокоительное). Это гарантирует безопасность животного и позволяет получить снимок высокого диагностического качества, что особенно важно при оценке сердца и легких.

3

По ходу исследования делается 2 снимка: в положении на боку и на спине. Рентгенографию легких следует проводить в фазе полного вдоха и раскрытия, трахеи — полного вдоха и выдоха.Ветеринар определяет положение кота в зависимости от анатомических и физиологических особенностей. Для крупных животных более целесообразно проводить исследование в косых проекциях, маленьких — в положении на животе или спине. Поток луча в таком случае проходит по прямой, что разделяет ткань легких на 2 части.

4

После получения цифрового снимка врач визуальной диагностики (или кардиолог/пульмонолог) проводит его детальную расшифровку. Специалист оценивает легочный рисунок (признаки отека, пневмонии, астмы), размеры и форму сердца, а также наличие жидкости или воздуха в плевральной полости. Результатом является письменный протокол рентгенографии с заключением и рекомендациями для лечащего врача.

Вызвать врача

Нажимая кнопку, вы даете согласие на обработку персональных данных

Показания к проведению рентгена легких

Кашель. Это один из главных симптомов развития легочной инфекции, наличия проблем хронического характера, в том числе бронхиальной астмы, эозинофильной формы бронхоневмопатии.

Слышны хрипы при вдохе или выдохе. На основании полученных результатов можно оценить пневматизацию крупных бронхов, трахеи, обнаружить пневмонию.

Отдышка, проблемы с дыханием. На снимке можно обнаружить жидкость в плевральной полости, посттравматические нарушения, которые могут быть спровоцированы деформацией кровеносных сосудов, лимфатических протоков.

Патологические изменения структур внутренних органов, расположенных в грудной клетке. Такие аномалии появляются после травм ребер, бронхов, легочной ткани, сопровождаемые скоплением воздуха в полости.

Диагностика новообразований злокачественной этиологии. Изменение размера, границ, структуру опухоли, первичные метастазы в легких заметны на снимке.

Симптомы кардиологических заболеваний. Расширение, заметное увеличение силуэта сердца, кровеносных сосудов может указывать на прогрессирование сосудистой гипертензии.

Беременность

Недавно перенесенные операции

Гиперчувствительность к контрастным веществам

Декомпенсированные заболевания сердца и легких

Сильный стресс или агрессия

Что показывает рентген

Рентгенографическое исследование грудной клетки позволяет своевременно обнаружить отек легких, переломы и трещины ребер, грудных позвонков. Также диагностируются патологии, связанные с сердцем, органами дыхания.

Рентгеновские снимки легких позволяют врачу-ветеринару оценить состояние легочной ткани, легочных сосудов, других структур. На полученных снимках видны аномалии в легких, заболевания, воспаления, опухоли, признаки инфекций.

При выявлении любых аномалий на снимке определяется их характер, точное положение, число, размер, форма, четкость границ.

Рентгенограмма позволяет оценить:

Рентген-снимок легких позволяет ветеринару более точно поставить диагноз и назначить эффективное лечение. Четкость и возможность многократного увеличения полученного снимка дает возможность подробно изучить особенности клинической картины.

Цены на рентген легких для кошек

Рентгенография (1 проекция)

1400 ₽

Повторная рентгенография для пациентов стационара

1100 ₽

Рентген одной анатомической области (в 2-х проекциях)

2800 ₽

Рентген одной анатомической области (в 3-х проекциях)

4200 ₽

При записи через сайт – скидка 10%

До конца акции:

Клинические случаи
Исключение пневмонии
Исключение пневмонии

Пациент: Зефирка, кошка, 4 года

Жалобы: Учащённое дыхание (тахипноэ), слабость, снижение активности. Температура в норме, аппетит временно снижен

Диагноз: Умеренное усиление интерстициального рисунка, без очаговых теней или плеврального выпота. Сердце не увеличено. Картина — начальные признаки вирусного бронхита, пневмония исключена.

Что дал рентген: позволил дифференцировать вирусное поражение от бактериальной пневмонии и сердечной недостаточности.

Результат: Назначены иммуномодуляторы, увлажнение воздуха, обильное питьё. Через 10 дней — нормализация дыхания, возвращение к обычному поведению.

Преимущества
Экспертный уровень ветеринарной заботы
Ваш питомец заслуживает лучшего, и наши ветеринары – это воплощение профессионализма и знаний. С глубоким пониманием животных и богатым опытом лечения самых разнообразных болезней, наша команда обеспечивает высококачественную медицинскую помощь. От рутинных осмотров до сложных хирургических операций – наши специалисты гарантируют, что ваш любимец получит лучшее лечение.
Современное оборудование
Мы понимаем, что точная диагностика и эффективное лечение требуют передовых технологий. Наши врачи оснащены самым современным оборудованием, что позволяет нам проводить манипуляции прямо у вас на дому.
Ветеринарный прием на дому
Мы знаем, что посещение клиники может быть стрессовым для вашего питомца и не всегда удобным для вас. Поэтому мы предлагаем уникальную услугу – прием на дому. Наши ветеринары готовы приехать к вам и оказать необходимую помощь в комфорте вашего дома. Это не только снижает стресс для животного, но и экономит ваше время.
Безграничная забота о животных
Любовь и забота о животных – это не просто работа для нас, это наша страсть. Мы стремимся создать теплую и дружелюбную атмосферу для каждого пациента. Наш подход к каждому животному индивидуален, и мы делаем все возможное, чтобы обеспечить им комфорт и поддержку на каждом этапе лечения. Ваш питомец будет окружен вниманием и заботой, как будто он – часть нашей собственной семьи.
Отзывы
Аня
Наш пес начал часто кашлять мы обратились в эту клинику, где удалось выяснить, что у него аллергия. Врачи подобрали лечение и дали советы по изменению рациона. Огромная благодарность добрейшему доктору Лидии!
Ольга
Заметила что кот стал апатичным и отказывался от еды. Сделали в клинике полную диагностику и нашли причину (это был гастрит). Назначили лечение и теперь с котом все ок) Спасибо за вашу внимательность и профессионализм.
Марина
Спасибо за экстренную помощь! Мы поранили лапу во время прогулки. Позвонили и нам предложили чтобы ветеринар приехал домой, очень удивились, но реально в течение часа где-то подъехал врач и оказал первую помощь, проконсультировали по дальнейшему уходу. Благодарю за быстрое реагирование.
При записи через сайт – скидка 10%

До конца акции:

Статья одобрена ветеринаром
Задать вопрос специалисту
Часто задаваемые вопросы
Как делают рентген легких кошке?

Процедура рентгена начинается с подготовки животного. Кота укладывают на стол, удерживают и делают снимок. Полученное изображение исследует врач и на его основании ставит диагноз.

Сколько стоит рентген у кошек?

Цена обследования зависит от числа проекций, необходимости введения контрастного вещества. Забор анализов, приезд врача на дом и другие дополнительные услуги следует оплачивать отдельно. Более точно стоимость можно узнать, позвонив по указанному номеру.

Можно ли кормить кошку перед рентгеном легких?

Нет необходимости следовать специальным указаниям по подготовке кота к процедуре. Также не ограничивается питьевой режим.

Что показывает рентген у кошек?

С помощью рентгена легких можно своевременно обнаружить заболевания дыхательной и сердечно-сосудистой системы. На снимке четко отображаются границы органов, новообразований, полостей, травмы и переломы ребер.

Другие услуги
Источники

Левенских Е. А. и др. Диагностика отека легких мелких домашних животных //Нормативно-правовое регулирование в ветеринарии. – 2023. – №. 3. – С. 83-88.

Катюхина А. Е., Николаева О. Н. Особенности диагностики туберкулеза кошек. – 2021.